モニター症例№78(32歳 女性)|目元・目の下のくま(クマ取り)・たるみ治療なら銀座みゆき通り美容外科 大阪院

銀座みゆき通り美容外科[大阪]

目元・目の下のクマ・タルミ モニター症例78(32歳 女性)

  1. 脱脂コンデンスリポ法
    脱脂+脂肪注入(コンデンスリッチファット+ナノリッチファット)

脱脂コンデンスリポ法の詳しい説明はこちら

Before/After

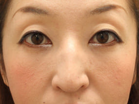
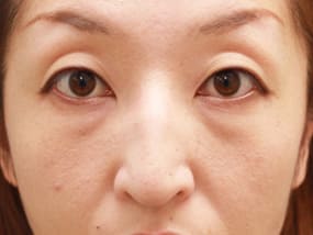
手術前
手術3ヶ月後
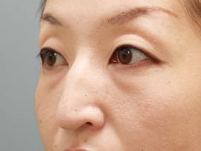
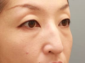
手術前
手術3ヶ月後
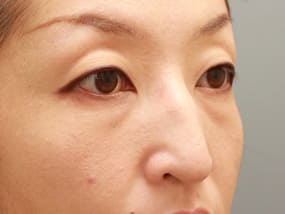
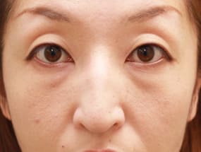
手術前
手術3ヶ月後
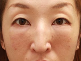
手術前
手術3ヶ月後
手術前
手術3ヶ月後

目元・目の下のクマ・タルミ 術前から治癒までの経過

①手術前(メイクあり)
①手術前(メイクあり)
②脱脂デザイン(メイクなし)
②脱脂デザイン(メイクなし)
③手術中 脱脂のみ終了直後(メイクなし)
③手術中 脱脂のみ終了直後(メイクなし)
④脱脂後の脂肪注入デザイン(メイクなし)
④脱脂後の脂肪注入デザイン(メイクなし)
⑤手術直後 脱脂+脂肪注入後(メイクなし)
⑤手術直後 脱脂+脂肪注入後(メイクなし)
⑥手術1日後(メイクあり)
⑥手術1日後(メイクあり)
⑦手術1週間後(メイクあり)
⑦手術1週間後(メイクあり)
⑧手術2週間後(メイクあり)
⑧手術2週間後(メイクあり)
⑨手術1ヶ月後(メイクあり)
⑨手術1ヶ月後(メイクあり)
⑩手術2ヶ月後(メイクあり)
⑩手術2ヶ月後(メイクあり)
⑪手術3ヶ月後
⑪手術3ヶ月後
【費用】(税込)
施術内容 標準治療費
脱脂コンデンスリポ法
脱脂+脂肪注入(コンデンスリッチファット+ナノリッチファット)
¥594,000
【主な注意事項】
  • 目の下周辺に脂肪注入や治療自体による刺激によって術後に腫れが生じることがあります。
  • 太ももなどから注入に適した少量の脂肪を脂肪吸引にて採取します。脂肪吸引は1~2ミリ程度の穴を開け行われます。この傷ははじめ赤みがあり、まれに褐色の色調を伴う色素沈着が生じることがあります。これらはいずれ目立たなくなりますが、全く消えてなくなるわけではありません。
  • 注入部位や脂肪吸引した部位は術後内出血する場合があり、打撲時のように当初は赤紫色の色調となり数日で薄い黄色に変化し10日~2週間程度の時間を経て消えていきます。また打撲や筋肉痛のような痛みがでることがありますが、自然に回復します。
  • 脂肪の注入は、目の下周辺に施した数か所の注入口から行います。注入口の傷痕は残りませんが、赤みが引くまでには多少の日数を必要とします。
  • 脂肪注入は滑らかな仕上がりとなるよう細心の注意を払い行いますが、脂肪が生着する過程において僅かな凹凸を生じる可能性があります。
  • 眼窩脂肪は経結膜脱脂法で行います。その際、結膜(瞼の裏側)を数ミリ切開しますが、この部分は縫合の必要はなく1週間ほどで自然に治ります。治るまでの間は目ヤニや充血などの症状が出る事があります。
  • コンタクトレンズの使用は1週間後からとなります。その間は眼鏡をご使用ください。
  • 極まれに、白目部分に部分的な内出血が生じ充血したようになる場合があります。この場合、2週間ほどで赤い色調が消えます。
  • 手術後の洗顔は当日から可能です。目の周辺のお化粧は翌日から可能ですが、アイメイクの化粧品が目に入らないように注意してご使用下さい。

ご予約・ご相談・画像診断について

ご相談・ご予約それぞれに対応した専用メールフォームをご用意しております。

画像診断は、撮影した画像をお送りいただければ、治療方針や治療費用など事前にアドバイスさせて頂いております。

24時間受付で、24時間以内に返信メールをお送りさせて頂いております。
お気軽にご連絡・ご利用下さい。全て無料で対応しております。
また、ご入力いただく情報は暗号通信SSLに対応しておりますので第三者に読み取られることもございませんので安心してご利用いただけます。

画像診断
ご相談・メール相談ご予約・メール予約
案内地図 電話
銀座みゆき通り美容外科大阪院のオンライン診療
銀座みゆき通り美容外科大阪院のLINEトーク
銀座みゆき通り美容外科大阪院のFaceTime

ページのトップへ戻る